Psychologie
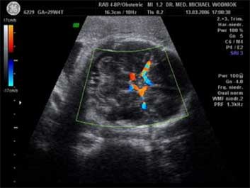
Farbdopplersonographie

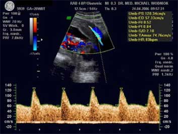
Die Dopplerultraschall-Untersuchung in der Schwangerschaft ist ein modernes Verfahren zur frühzeitigen Erkennung krankhafter Veränderungen sowohl bei der schwangeren Frau als auch beim ungeborenen Kind.

Die beiden Haupteinsatzgebiete der Dopplersonographie sind:
1.
Voraussage der Entwicklung von schwangerschaftsverursachtem Bluthochdruck. Das Risiko für die Entwicklung dieser ernsten Schwangerschaftserkrankung liegt bei ungefähr fünf Prozent aller Schwangeren. Ergibt eine Doppleruntersuchung beider Gebärmutterarterien zwischen der 24. und 26. Schwangerschaftswoche (SSW) einen unauffälligen Befund, verringert sich das Risiko erheblich. Ist jedoch der Befund nicht in Ordnung, ist mit einer Wahrscheinlichkeit von etwa 35% für das Eintreten dieser Komplikation zu rechnen! Folglich wird die Betreuung der Schwangeren entsprechend intensiviert werden müssen und regelmäßige Doppler-Kontrollen werden durchgeführt.
2.
Unterscheidung zwischen dem anlagebedingt kleinen (nicht gefährdeten) und dem minderversorgten (gefährdeten) Kind. Der Nachweis einer chronischen Mangelversorgung des Kindes durch eine nicht ausreichende Funktion des Mutterkuchens (Plazenta) gelingt mit der Dopplersonographie durch die Messung der Blutströmungsverhältnisse in der Nabelschnurarterie und Gehirnarterie des Kindes mit de Dopplersonographie.

Zusammengefasst ist die Dopplersonographie ist eine Art Frühwarnsystem. Denn krankhafte Veränderungen beim CTG (Herztonaufzeichnung des Kindes) treten etwa erst 10-14 Tage nach den ersten Auffälligkeiten in der Dopplersonographie auf. Liegt ein Risiko gemäß den Mutterschaftsrichtlinien vor, wird die Doppleruntersuchung von uns zu Lasten der GKV abgerechnet.

Darüber hinaus erachten wir sie aber als sinnvolle Maßnahme zur frühzeitigen Erfassung oben genannter Probleme in Nicht-Risiko-Schwangerschaften.